Le Blog
Retrouvez toutes les actualités, infos & astuces du Cabinet Dentaire Plana.
Tout savoir sur les traumatismes dentaires : comment réagir et préserver vos dents
Les accidents dentaires peuvent survenir à tout moment : chutes, sports,collisions ou incidents domestiques.Savoir comment réagir rapidement et efficacement est crucial pour limiter lesdommages et préserver les dents naturelles ou restaurées.À Toulouse, le Cabinet...
La prévention des caries chez les adultes : stratégies efficaces pour un sourire durable
Les caries dentaires ne sont pas réservées aux enfants : elles constituent également un problème fréquent chez les adultes.Si elles ne sont pas traitées, elles peuvent entraîner douleur, sensibilité, infections et même la perte de dents.À Toulouse, le Cabinet Dentaire...
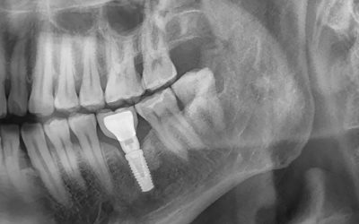
Comment préserver ses dents après une prothèse ou un implant : conseils pratiques et entretien
La pose d’une prothèse dentaire ou d’un implant est une étape majeure pour restaurer un sourire fonctionnel et esthétique. Cependant, leur durabilité et leur succès à long terme dépendent fortement de l’entretien quotidien et d’un suivi régulier. À Toulouse, le...
Comment le stress influence la santé bucco-dentaire :bruxisme, gencives et caries
Le stress, qu’il soit ponctuel ou chronique, peut avoir des conséquences importantes sur la santé bucco-dentaire. À Toulouse, le Cabinet DentairePlana accompagne ses patients pour identifier les effets du stress sur les dents et les gencives et proposer des solutions...
Comment gérer les aphtes et les ulcérations buccales : causes, prévention et traitements
Les aphtes et les ulcérations buccales sont des lésions fréquentes de la bouche, pouvant affecter la muqueuse, la langue ou l’intérieur des lèvres.Bien qu’elles soient généralement bénignes, elles sont douloureuses et gênantes pour parler, manger ou sourire. Voici un...
Les implants dentaires et la santé osseuse : ce que vous devez savoir
Les implants dentaires sont une solution populaire et efficace pour remplacer les dents manquantes. Cependant, avant de procéder à l’implantation, il est crucial de prendre en compte la santé de votre os.En effet, les implants nécessitent un os de mâchoire...






