Le Blog
Retrouvez toutes les actualités, infos & astuces du Cabinet Dentaire Plana.
Les précautions à prendre après une extraction dentaire pour une guérison optimale
Après une extraction dentaire, il est crucial de suivre certaines recommandations pour assurer une guérison rapide et éviter les complications. Voici un guide détaillé des précautions à prendre après l'extraction d'une dent, afin de favoriser une récupération...
LES SOLUTIONS ESTHÉTIQUES POUR UN SOURIRE ÉCLATANT : FACETTES, BLANCHIMENT ET AUTRES OPTIONS
Un sourire éclatant est souvent associé à la confiance et à une bonne santé. Si vous souhaitez améliorer l'apparence de vos dents, les avancées en dentisterie esthétique offrent une multitude de solutions pour transformer votre sourire. Que vous soyez à Toulouse ou...
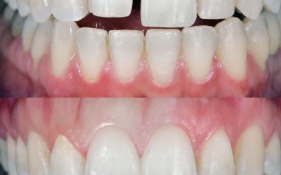
L’IMPORTANCE DU DÉTARTRAGE RÉGULIER POUR LA SANTÉ DE VOS GENCIVES
Le détartrage professionnel est une étape essentielle pour maintenir une bonne santé bucco-dentaire et prévenir les maladies parodontales. Si vous résidez à Toulouse, vous pouvez compter sur des professionnels expérimentés, comme ceux du Cabinet Dentaire Plana, pour...
Implants dentaires ou bridge dentaire : quel choix est le plus adapté ?
Perdre une dent est une situation inconfortable, tant sur le plan esthétique que fonctionnel. Heureusement, plusieurs solutions existent pour remplacer une dent manquante, notamment les implants dentaires et les bridges. Si vous êtes à Toulouse et que vous vous...
Les gestes d’hygiène essentiels pour prévenir les maladies parodontales
Les maladies parodontales, comme la gingivite et la parodontite, peuvent avoir de graves conséquences sur la santé bucco-dentaire si elles ne sont pas prises en charge rapidement. Heureusement, ces affections sont souvent évitables grâce à une bonne hygiène...
Les solutions pour les dents sensibles : causes, traitements et prévention
La sensibilité dentaire est un problème courant qui touche de nombreuses personnes, causant une gêne parfois intense lors de la consommation d'aliments ou de boissons chaudes, froides, sucrées ou acides. Si vous habitez à Toulouse et que vous souffrez de dents...






