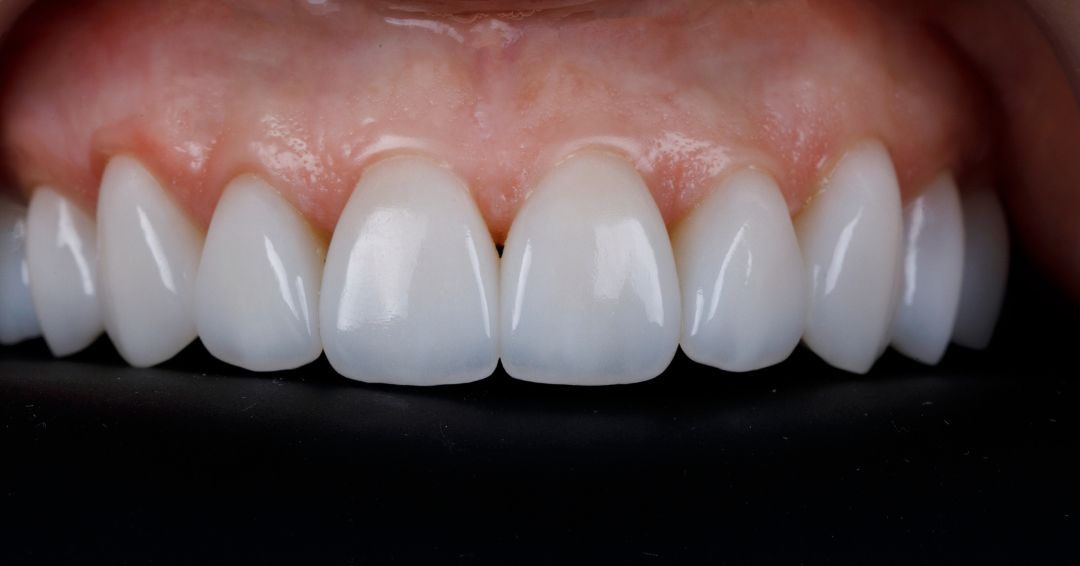
Qu’est-ce que les facettes dentaires ?
Les facettes dentaires sont de fines pellicules de matériaux esthétiques, comme la céramique ou le composite, conçues pour recouvrir la surface visible des dents. Elles sont personnalisées pour s’adapter à la forme, à la taille et à la couleur de vos dents, offrant un sourire apparemment naturel tout en corrigeant une multitude de défauts esthétiques.
Pourquoi choisir les facettes dentaires ?
Les facettes dentaires offrent une solution versatile pour diverses préoccupations esthétiques, incluant :
- Dents tachées ou décolorées : Parfaites pour ceux qui ne répondent pas bien au blanchiment dentaire.
- Dents ébréchées ou cassées : Restaurent l’apparence des dents endommagées.
- Dents légèrement mal alignées : Offrent une alternative plus rapide et moins invasive que l’orthodontie traditionnelle.
- Dents aux formes irrégulières ou à l’aspect inégal : Créent un sourire harmonieux et proportionné.
Le Processus de pose des facettes dentaires
La transformation de votre sourire avec des facettes dentaires se déroule généralement en quelques rendez-vous dans notre cabinet de Toulouse :
- Consultation initiale : Évaluation de vos dents et discussion sur vos objectifs esthétiques.
- Préparation des dents : Léger remodelage de la surface dentaire pour accueillir les facettes.
- Empreinte dentaire : Création d’un moule précis de vos dents pour la fabrication sur mesure des facettes.
- Pose des facettes : Les facettes personnalisées sont fixées sur vos dents, révélant un sourire transformé.
Avantages des facettes dentaires
- Esthétique améliorée : Offrent un sourire éclatant et uniforme.
- Minimalement Invasives : Nécessitent une préparation minimale de la dent, préservant la plupart de votre structure dentaire naturelle.
- Durabilité : Avec des soins appropriés, les facettes peuvent durer de nombreuses années.
- Entretien Simple : Les facettes se nettoient comme vos dents naturelles, avec un brossage régulier et l’utilisation de fil dentaire.
Si vous envisagez les facettes dentaires pour revitaliser votre sourire, contactez notre cabinetdentaire à Toulouse. Nous sommes ici pour répondre à toutes vos questions et vous accompagner dans votre parcours vers le sourire de vos rêves.
Dr Valdiguié Arnaud – Dr Christian Amine
