Les implants dentaires : une solution permanente
Perdre une ou plusieurs dents peut avoir un impact significatif sur la qualité de vie et la confiance en soi d’une personne. Heureusement, grâce à l’implantologie, il est désormais possible de restaurer durablement les dents manquantes. Les implants dentaires offrent une solution permanente et esthétiquement agréable pour retrouver un sourire complet. Dans cet article, nous explorerons les avantages des implants dentaires, leur processus de placement et les raisons pour lesquelles ils sont considérés comme la meilleure option de remplacement des dents.
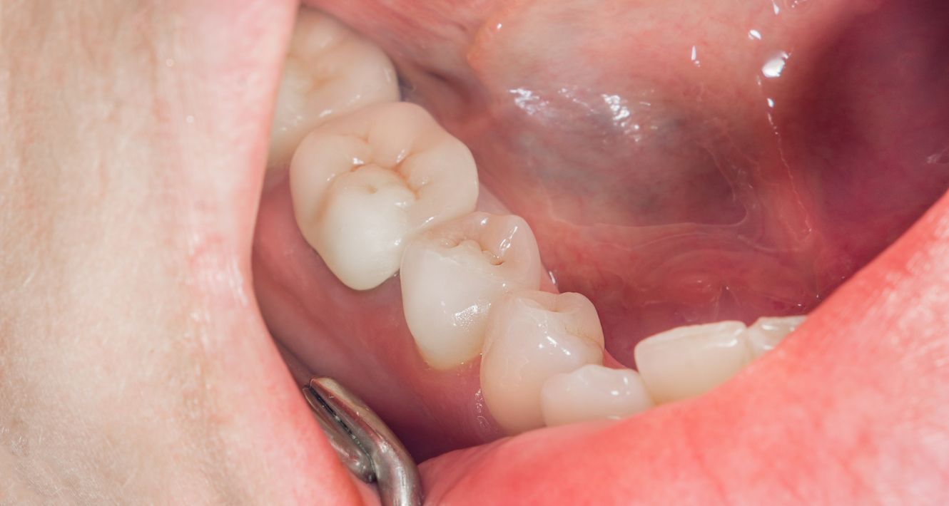
Les implants dentaires : une solution naturelle et durable
Les implants dentaires sont conçus pour imiter la structure et la fonction des dents naturelles. Ils se composent de trois parties principales : la vis en titane, qui est insérée dans l’os de la mâchoire, le pilier, qui relie la vis à la prothèse dentaire, et la couronne, la prothèse dentaire en céramique qui remplace la dent visible. Cette conception en trois parties offre une solution complète et stable qui est conçue pour durer de nombreuses années, voire toute une vie.
L’un des principaux avantages des implants dentaires est leur capacité à préserver l’intégrité de l’os de la mâchoire. Lorsqu’une dent est perdue, l’os de la mâchoire peut se résorber avec le temps, ce qui peut entraîner une détérioration de la structure faciale et de la santé bucco-dentaire. En insérant une vis en titane dans l’os, les implants stimulent la croissance osseuse et préservent la densité osseuse.
De plus, les implants dentaires offrent une stabilité et une fonctionnalité similaires à celles des dents naturelles. Ils permettent de mâcher et de parler de manière confortable et naturelle, sans les inconvénients souvent associées aux prothèses dentaires amovibles. Les patients peuvent retrouver leur confiance en mordant dans leurs aliments préférés et en souriant sans crainte.
Processus de placement des implants dentaires
Le processus de placement des implants dentaires est généralement réalisé en plusieurs étapes, nécessitant la collaboration entre l’implantologue et le prothésiste dentaire.
Tout d’abord, une évaluation approfondie de la santé bucco- dentaire du patient est réalisée. Cela inclut une analyse de l’os de la mâchoire, des gencives et de l’occlusion dentaire. Des radiographies et des scans sont effectués pour évaluer la quantité et la qualité de l’os disponible pour soutenir l’implant.
Ensuite, une chirurgie mineure est réalisée pour insérer la vis en titane dans l’os de la mâchoire. Cette étape peut nécessiter une anesthésie locale pour assurer le confort du patient. Une fois l’implant en place, une période de guérison appelée ostéointégration commence. Pendant cette période, l’os de la mâchoire se fusionne avec la vis en titane, assurant ainsi une base solide et stable pour la future prothèse dentaire.
Après la période de guérison, une seconde intervention chirurgicale est réalisée pour fixer le pilier à la vis implantée. Il sert de connexion entre l’implant et la couronne cosmétique. Une fois le pilier en place, des empreintes dentaires sont prises pour concevoir et fabriquer la couronne prothétique personnalisée.
Enfin, la couronne est fixée au pilier, complétant ainsi le processus de restauration de la dent manquante. La couronne est fabriquée pour correspondre à la couleur, à la forme et à la taille des dents naturelles environnantes, ce qui garantit un aspect esthétique harmonieux.
Les avantages des implants dentaires
Les implants dentaires offrent de nombreux avantages par rapport aux autres options de remplacement des dents, tels que les prothèses amovibles ou les bridges. Voici quelques-uns des principaux avantages des implants dentaires :
– Esthétique : Les implants dentaires ressemblent et fonctionnent comme des dents naturelles, offrant un sourire naturel et harmonieux.
– Confort et fonctionnalité : Les implants dentaires sont fixes et stables, ce qui permet de manger, de parler et de sourire en toute confiance, sans les contraintes des prothèses amovibles.
– Préservation de l’os de la mâchoire : Les implants stimulent la croissance osseuse et préviennent la résorption osseuse, préservant ainsi l’intégrité de l’os de la mâchoire et maintenant une structure faciale saine.
– Durabilité : Les implants dentaires sont conçus pour durer longtemps, voire toute une vie, avec des soins bucco-dentaires appropriés.
– Facilité d’entretien : Les implants dentaires ne nécessitent pas de soins spéciaux. Un brossage régulier, l’utilisation de brossettes inter dentaire et des visites régulières chez le dentiste suffisent pour maintenir une bonne santé bucco-dentaire.
En conclusion, les implants dentaires offrent une solution permanente et esthétiquement agréable pour restaurer les dents manquantes. Grâce à leur conception avancée, ils offrent une fonctionnalité et un confort similaires à ceux des dents naturelles. En préservant l’os de la mâchoire et en offrant une stabilité à long terme, les implants dentaires améliorent non seulement l’esthétique du sourire, mais aussi la santé bucco-dentaire globale.
Si vous envisagez de remplacer une ou plusieurs dents manquantes, il est recommandé de consulter un dentiste implantologue qualifié. Votre dentiste pourra évaluer votre situation individuelle, discuter des options de traitement et élaborer un plan de traitement adapté à vos besoins.
Avec les implants dentaires, vous pouvez retrouver votre sourire éclatant, votre confiance en vous et votre capacité à profiter pleinement de la vie sans vous soucier de vos dents manquantes. Investissez dans votre santé bucco-dentaire en optant pour une solution permante.
