Pourquoi mon dentiste veut-il que j’arrête le tabac?
Le tabagisme est la principale cause évitable de maladie et de décès prématuré en France.
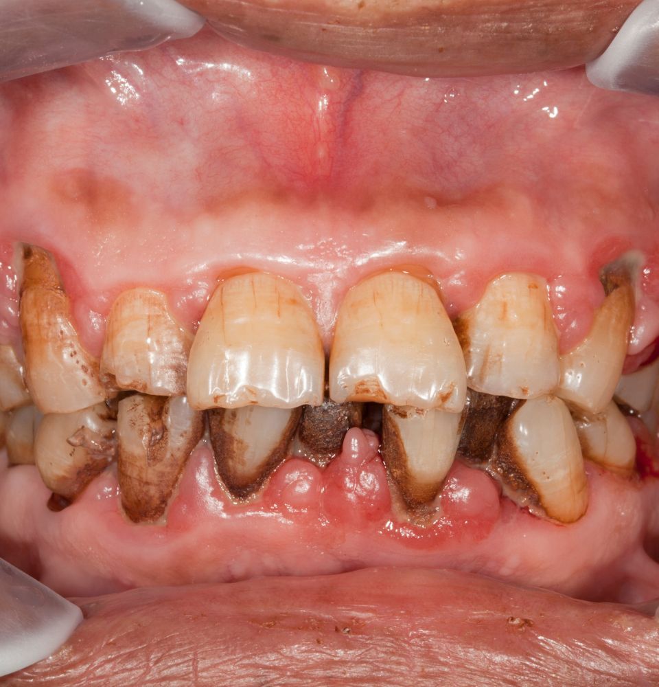
Parmi la liste croissante des maladies liées au tabagisme, une myriade de problèmes de santé dentaire ont également été liés au tabagisme.
Les plus évidentes sont la mauvaise haleine et la coloration des dents.
Plus sérieusement, le tabagisme a été associé à un risque accru de maladie parodontale, à une perte osseuse accrue dans la mâchoire et au cancer de la bouche.
Et encore près de 17 millions de français fument des cigarettes !
Une journée par an est réservée à l’incitation des gens à s’engager à arrêter de fumer. En tant que professionnels dentaires, nous vous encourageons fortement à arrêter de fumer. Pourquoi?
Car…
Les fumeurs ont deux fois plus de risque de maladie des gencives qu’un non-fumeur.
Selon l’Académie de parodontologie, l’usage du tabac est l’un des facteurs de risque les plus importants dans le développement et la progression des maladies des gencives.
Non seulement le tabagisme a été associé à une probabilité accrue de maladie des gencives, mais il a également été constaté qu’il rendait le traitement de la maladie des gencives moins efficace.
La maladie des gencives est la principale cause de perte de dents.
La maladie parodontale a été liée aux complications de la grossesse.
Les maladies des gencives ont été associées à un certain nombre de problèmes de santé graves, notamment les crises cardiaques, les accidents vasculaires cérébraux, le diabète, l’ostéoporose, l’arthrite, la maladie d’Alzheimer et le cancer.
Au moins 75 % des cancers de la bouche, des lèvres, de la langue et de la gorge se retrouvent chez les fumeurs. Fumer coûte cher aussi à votre porte- monnaie
Bonnes nouvelles
Il y a cependant de bonnes nouvelles. Les effets du tabagisme commencent à s’inverser presque immédiatement lorsqu’un fumeur cesse de fumer. Même après des années de consommation de tabac, réduire la quantité de fumée ou arrêter complètement peut réduire considérablement les risques pour la santé, même jusqu’à réduire le risque de maladie des gencives à celui d’une personne qui n’a jamais fumé !
Pouvez-vous imaginer la vie sans cigarettes ?
Une meilleure haleine, des dents plus blanches, des gencives plus saines, une meilleure santé globale… tout cela pourrait être à vous.
Pourquoi ne pas faire d’aujourd’hui le jour où votre vie va changer ?
Faites-nous confiance, vos dents et votre dentiste vous remercieront !
