Les maladies parodontales
Avec cet article, vous allez tout savoir sur la maladie parodontale. Si vos gencives sont enflées ou saignent lorsque vous vous brossez les dents, cela pourrait être un signe de maladie des gencives (parodontale). De nombreux adultes ont des problèmes avec leurs gencives, même avec un brossage régulier des dents et l’utilisation de fil dentaire.
Qu’est-ce que la maladie des gencives ?
C’est une infection des gencives qui s’aggrave avec le temps.
-
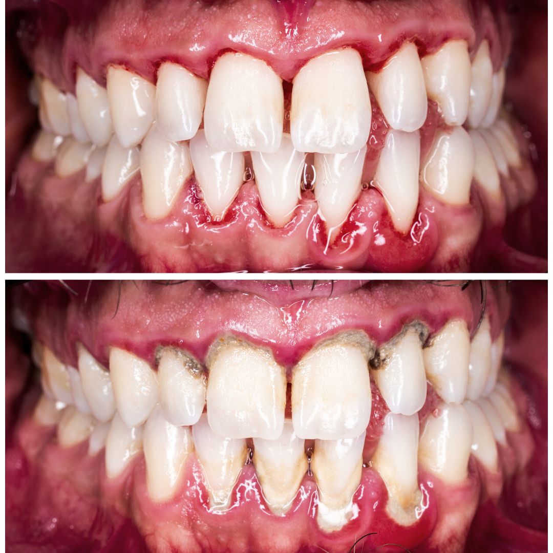
La maladie des gencives à un stade précoce ( gingivite) comprend des gencives enflées et saignantes. Certaines personnes ne ressentent aucun symptôme. Elle est réversible avec un traitement rapide.
-
La maladie des gencives avancée (parodontite) survient lorsque la couche interne des gencives se détache des dents et forme des poches. La parodontite est définie par la perte d’os soutenant les dents.
Qui est sujet aux maladies parodontales?
Pour tout savoir sur la maladie parodontale il faut que vous ayez conscience que vous pouvez faire face à un risque plus élevé de maladie des gencives si vous :
-
-
Fumez.
-
Souffrez de diabète, d’ arthrite, de maladies cardiaques et de troubles du système immunitaire comme le VIH et le SIDA.
-
N’avez pas de bonnes habitudes d’ hygiène dentaire.
-
Avez des dents tordues, des appareils dentaires permanents comme des bridges qui ne s’adaptent pas bien.
-
Avez un membre de la famille ayant des antécédents de maladie des gencives ou de perte précoce de dents.
-
Évitez de voir le dentiste.
-
Comment cela peut-il affecter ma santé?
Les infections des gencives à leurs débuts peuvent provoquer des symptômes inconfortables.
La parodontite avancée peut vous faire perdre vos dents, ce qui rend difficile l’alimentation. Les bactéries de la parodontite peuvent également augmenter votre risque de problèmes de santé, notamment :
-
Diabète
-
Cardiopathie
-
Les maladies pulmonaires
-
AVC
-
Arthrite
Qui est touché par des maladies parodontales ?
-
Près de la moitié des adultes de 30 ans ou plus ont une maladie des gencives.
-
Sept adultes sur 10 âgés de 65 ans et plus en font l’expérience.
SYMPTÔMES ET CAUSES
Qu’est-ce qui cause la maladie parodontale?
Les bactéries présentes dans votre bouche produisent des toxines qui peuvent irriter les tissus gingivaux. Si les bactéries ne sont pas éliminées en se brossant les dents, elles forment une pellicule (la plaque dentaire) difficile à éliminer. Au fil du temps, la plaque durcit et forme une substance appelée tartre qui nécessite un nettoyage professionnel pour s’en débarrasser.
En outre, il est maintenant largement admis qu’il existe une composante génétique à la maladie des gencives. Certaines personnes ont une réponse immunitaire exagérée aux bactéries qui causent la maladie parodontale.
Our tout savoir sur la maladie parodontale voici les symptômes d’une infection des gencives :
-
Mauvaise haleine, même après le brossage des dents.
-
Gencives enflées, sensibles ou qui saignent.
-
Maux de dents et douleur lors de la mastication.
-
Dents qui bougent.
-
Sensibilité.
-
Dents qui semblent plus longues que d’habitude en raison de la récession des gencives.
DIAGNOSTIC ET TESTS
Qui peut faire le diagnostic ?
Un dentiste peut diagnostiquer et traiter la gingivite. Vous devrez peut- être consulter un spécialiste appelé parodontiste pour une maladie des gencives avancée ou des symptômes qui ne répondent pas aux traitements standard. Les parodontistes sont des dentistes ayant une formation supplémentaire dans le traitement des maladies complexes des gencives.
Comment diagnostique-t-on la parodontite ?
Même si on croit tout savoir sur la maladie parodontale, l’évaluation commence par connaître vos antécédents médicaux et si vous avez des facteurs de risque de maladie des gencives. Votre dentiste évalue ensuite vos gencives pour détecter des signes d’inflammation. Ils peuvent utiliser un instrument (sonde) pour mesurer les poches autour des dents.
Comment saurai-je si j’ai une gingivite si je ne ressens pas les symptômes ?
Les dentistes vérifient les signes d’infection des gencives lors
d’un examen de contrôle. Si vos gencives semblent enflées ou saignent facilement, cela peut être dû à une gingivite. Votre dentiste utilisera une sonde pour vérifier les poches. La gingivite n’affecte pas l’os entourant vos dents et ne peut donc généralement pas être diagnostiquée à partir de radiographies dentaires.
PRISE EN CHARGE ET TRAITEMENT
Comment traite-t-on la maladie des gencives à un stade précoce?
Le meilleur traitement pour la gingivite est un nettoyage
professionnel. Votre dentiste détecte et élimine la plaque et le tartre même dans les zones difficiles d’accès. Une fois ces substances éliminées, vos gencives guériront d’elles-mêmes et aucun autre traitement n’est nécessaire. Votre dentiste passera également en revue les outils et les techniques que vous devriez utiliser pour être plus efficace à la maison pour prévenir la récidive de la gingivite.
Comment les parodontistes traitent-ils la parodontite ?
Le détartrage et le surfaçage radiculaire sont une procédure visant à éliminer la plaque et le tartre qui se sont propagés à la racine de la dent. Pour de nombreuses personnes atteintes de parodontite, c’est le seul traitement nécessaire. Dans certains cas, les parodontistes peuvent avoir besoin de faire des procédures mineures pour éliminer la maladie parodontale. Ils peuvent être en mesure de reconstruire l’os entourant vos dents qui a été perdu à cause de la maladie parodontale. Les traitements de la parodontite impliquent parfois l’extraction des dents affectées.
Que se passe-t-il si mes dents tombent ?
Si vous finissez par perdre des dents, il existe des options telles quelles implants dentaires qui peuvent restaurer un sourire d’apparence naturelle. Les implants dentaires sont des dispositifs qui ressemblent à des dents en ce sens qu’ils ne peuvent pas être retirés. La procédure pour les insérer est relativement rapide et indolore.
LA PRÉVENTION
Comment puis-je prévenir la maladie parodontale?
Les mesures que vous pouvez prendre pour prévenir les maladies parodontales comprennent :
-
– Se brosser les dents avec un dentifrice contenant du fluor.
-
– Le fil dentaire pour éliminer les dépôts de plaque près de la ligne des gencives.
-
– Utilisez un bain de bouche pour vous débarrasser des bactéries qui peuvent rester sur vos dents après le brossage.
-
– Faire des détartrages et des contrôles dentaires réguliers.
PERSPECTIVES / PRONOSTIC
Quelles sont les perspectives pour les personnes atteintes de maladies parodontales ?
L’impact de la maladie parodontale sur votre santé dentaire dépend de sa gravité et des traitements que vous recevez. Consulter un parodontiste et suivre ses instructions d’entretien vous donne les meilleures chances d’obtenir de bons résultats.
La maladie parodontale peut-elle revenir?
Même avec un traitement réussi, la maladie parodontale peut réapparaître. Si vous commencez à remarquer des symptômes, comme des gencives enflées ou qui saignent, il est important d’obtenir l’aide de votre dentiste ou de votre parodontiste.
Vais-je perdre mes dents ?
Même avec une maladie parodontale avancée, de nombreuses personnes évitent la perte de dents. Pour avoir les meilleures chances de préserver votre sourire, faites-vous soigner dès que possible.
VIVRE AVEC
Si mes gencives saignent mais ne me font pas mal, dois-je consulter ?
Vous devriez consulter un dentiste ou un parodontiste si vous pensez avoir une maladie des gencives. Elle ne disparaît pas toute seule et peut s’aggraver avec le temps. La traiter à un stade précoce peut vous aider à éviter l’inconfort dû à l’aggravation des symptômes ou à éviter un traitement plus lourd.
